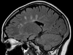
multipla skleroza
Kraj brige o “malom broju ćelija” iz pupčanika: Šta je Zemcelpro i zašto je ovo važna vest za roditelje?
15.05.26.
Nauka o matičnim ćelijama
Sigurnost deteta počinje brigom o porodici
15.05.26.
Aktuelno
Kakav je osećaj kad počnu kontrakcije?
Priprema za porođaj
Letovanje 2026: Jesu li aranžmani skuplji ove godine
15.05.26.
Putovanja
Da li je putovanje na trudničkom bolovanju zaista zabranjeno?
15.05.26.
Putovanje u trudnoći
Pronađene do sada nepoznate ćelije koje upravljaju početkom svake trudnoće
14.05.26.
Trudnoća
Nauka potvrdila: Jače mučnine češće su kad je beba određenog pola
14.05.26.
Tegobe i komplikacije u trudnoći













